Skip to content Skip to sidebar Skip to footer

Trikuspidalklappeninsuffizienz Grad 2 3

Trikuspidalklappenstenose Und Trikuspidalklappeninsuffizienz

Trikuspidalklappenstenose Und Trikuspidalklappeninsuffizienz

Trikuspidalklappeninsuffizienz grad 2 3. Die Trikuspidalklappeninsuffizienz findet sich v. LV Masse 08 x 104 x IVSDLVEDDPWTD³-LVEDD³06 IVSD Interventrikuläre septale Wanddicke in der Enddiastole LVEDD Linksventrikulärer enddiastolischer Diameter PWTD Posteriore Wanddicke in der Enddiastole. Die Trikuspidalinsuffizienz ist ein Herzklappenfehler bei dem durch einen unzureichenden Schluss der Trikuspidalklappe während der Systole ein pathologischer Rückfluss Regurgitation aus dem rechten Ventrikel in den rechten Vorhof des Herzens erfolgt.

De Aufgrund der Tumorgröße und. Symptome und Befunde fehlen üblicherweise aber eine schwere TI kann Pulsationen am Hals ein holosystolisches Geräusch und eine RV-induzierte. Januar 2016 1444.

Hier kommt es durch einen ungenügenden Klappenschluss zu einem abnormalen Rückfluss von Blut in den rechten Vorhof mit nachfolgender Stauung in den großen zum Herzen führenden Venen. Die Trikuspidalklappeninsuffizienz ist eine Herz-klappenerkrankung welche die dreizipflige Segel-klappe zwischen rechtem Vorhof und rechter Herz-kammer betrifft. Man unterschiedet die sekundäre Insuffizienz von der deutlich selteneren primären Insuffizienz.

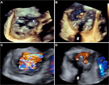
Severe tricuspid regurgitation was seen in 25 of the patients who presented signs of an acute right heart dysfunction. Der mittlere Gradient über der Aortenklappe betrug 82 48 mmHg die Ejektionsfraktion lag bei 503 71. Bei der Trikuspidalinsuffizienz handelt es sich um eine Schlussunfähigkeit der Trikuspidalklappe mit konsekutiver Regurgitation von Blut aus dem rechten Ventrikel in das rechte Atrium während der Systole Abb.

En Due to the tumor size and the threat of tricuspid valve insufficiency tumor resection was performed. Die Trikuspidalinsuffizienz TI ist eine häufig anzutreffende Form der Herzklappenerkrankung. Linksventrikuläre MasseKörperoberfläche gm² - Lineare Methode.

Médicos centros de saude e hospitais especialistas em Trikuspidalklappeninsuffizienz que voce pode entrar em contacto marque o compromisso ou envia resultados do exames. Die Trikuspidalklappeninsuffizienz TI ist die Schlussunfähigkeit der Trikuspidalklappe und führt zum Blutfluss aus dem RV in den RA während der Systole. Trikuspidalklappeninsuffizienz auch Trikuspidalinsuffizienz genannt ist in der Medizin die Bezeichnung für eine Undichtigkeit der Trikuspidalklappe des Herzens die während der Auswurfphase zu einem Rückfluss von Blut aus der rechten Herzkammer in den rechten Vorhof und die Hohlvenen führt.

Hier kommt es aufgrund eines unzureichenden Schlusses der Segelklappe im rechten Herzen zu einem Rückfluss des Blutes in das rechte Atrium wenn dieses während der Systole aus dem rechten Ventrikel in den Lungenkreislauf. Die häufigste Ursache ist die Dilatation des RV.

Trikuspidalklappeninsuffizienz Welche Alternativen Zur Konventionellen Herz Op Gibt Es

Trikuspidalklappeninsuffizienz Welche Alternativen Zur Konventionellen Herz Op Gibt Es

Trikuspidalinsuffizienz Die Vernachlassigte Klappe

Trikuspidalinsuffizienz Die Vernachlassigte Klappe

Mitralklappeninsuffizienz Symptome Diagnostik Therapie Gelbe Liste

Mitralklappeninsuffizienz Symptome Diagnostik Therapie Gelbe Liste

Trikuspidaklappenoperation Springerlink

Trikuspidaklappenoperation Springerlink

Trikuspidalinsuffizienz Trikuspidalklappeninsuffizienz Sterblichkeit Erhoht

Trikuspidalinsuffizienz Trikuspidalklappeninsuffizienz Sterblichkeit Erhoht

Trikuspidalinsuffizienz Die Vernachlassigte Klappe

Trikuspidalinsuffizienz Die Vernachlassigte Klappe

Mitraclip Zur Therapie Der Trikuspidalinsuffizienz Springerlink

Mitraclip Zur Therapie Der Trikuspidalinsuffizienz Springerlink

Trikuspidalinsuffizienz Die Vernachlassigte Klappe

Trikuspidalinsuffizienz Die Vernachlassigte Klappe

Trikuspidalinsuffizienz Die Vernachlassigte Klappe

Trikuspidalinsuffizienz Die Vernachlassigte Klappe

Trikuspidalinsuffizienz Die Vernachlassigte Klappe

Trikuspidalinsuffizienz Die Vernachlassigte Klappe

Trikuspidalinsuffizienz Die Vernachlassigte Klappe

Trikuspidalinsuffizienz Die Vernachlassigte Klappe

Klinische Quantifizierung Der Trikuspidalklappeninsuffizienz Mittels Magnetresonanztomographie Pdf Kostenfreier Download

Klinische Quantifizierung Der Trikuspidalklappeninsuffizienz Mittels Magnetresonanztomographie Pdf Kostenfreier Download

Https Mediatum Ub Tum De Doc 1136071 1136071 Pdf

Https Mediatum Ub Tum De Doc 1136071 1136071 Pdf

Trikuspidalinsuffizienz Die Vernachlassigte Klappe

Trikuspidalinsuffizienz Die Vernachlassigte Klappe

Trikuspidalklappeninsuffizienz Detonic

Trikuspidalklappeninsuffizienz Detonic

Katheterinterventionelle Therapie Der Trikuspidalklappeninsuffizienz Springerlink

Katheterinterventionelle Therapie Der Trikuspidalklappeninsuffizienz Springerlink

Trikuspidalklappe Herz Und Diabeteszentrum Nrw

Trikuspidalklappe Herz Und Diabeteszentrum Nrw

Mitralklappeninsuffizienz Wikipedia

Mitralklappeninsuffizienz Wikipedia

Die Trikuspidal Klappen Insuffizienz Cardiopraxis

Die Trikuspidal Klappen Insuffizienz Cardiopraxis

Interventionelle Therapie Der Trikuspidalklappeninsuffizienz Springerlink

Interventionelle Therapie Der Trikuspidalklappeninsuffizienz Springerlink

Edwards Cardioband System Bei Trikuspidalklappeninsuffizienz Medmix

Edwards Cardioband System Bei Trikuspidalklappeninsuffizienz Medmix

Trikuspidalinsuffizienz Facharztwissen

Trikuspidalinsuffizienz Facharztwissen

Erkrankungen Des Endokards Und Der Herzklappen Medikamentose Therapie Der Trikuspidalklappeninsuffizienz Springermedizin De

Erkrankungen Des Endokards Und Der Herzklappen Medikamentose Therapie Der Trikuspidalklappeninsuffizienz Springermedizin De

Platform For Healthcare Ppt Download

Platform For Healthcare Ppt Download

Echobasics

Echobasics

Semcare Semantic Data Platform For Healthcare Ppt Download

Semcare Semantic Data Platform For Healthcare Ppt Download

Https Refubium Fu Berlin De Bitstream Handle Fub188 299 Diss Svenja Letz Pdf Sequence 1 Isallowed Y

Https Refubium Fu Berlin De Bitstream Handle Fub188 299 Diss Svenja Letz Pdf Sequence 1 Isallowed Y

Katheterinterventionelle Therapie Der Trikuspidalklappeninsuffizienz Springerlink

Katheterinterventionelle Therapie Der Trikuspidalklappeninsuffizienz Springerlink

Die Lange Vergessene Trikuspidalklappe Medmedia

Die Lange Vergessene Trikuspidalklappe Medmedia

Https Refubium Fu Berlin De Bitstream Handle Fub188 299 Diss Svenja Letz Pdf Sequence 1 Isallowed Y

Https Refubium Fu Berlin De Bitstream Handle Fub188 299 Diss Svenja Letz Pdf Sequence 1 Isallowed Y

Trikuspidalklappeninsuffizienz Wer Ist Ein Guter Kandidat Fur Das Edge To Edge Verfahren

Trikuspidalklappeninsuffizienz Wer Ist Ein Guter Kandidat Fur Das Edge To Edge Verfahren

Https Www Lume Ufrgs Br Bitstream Handle 10183 16877 000706196 Pdf Sequence 1

Https Www Lume Ufrgs Br Bitstream Handle 10183 16877 000706196 Pdf Sequence 1

Pathophysiologie Und Epidemiologie Der Trikuspidalklappeninsuffizienz Springerlink

Pathophysiologie Und Epidemiologie Der Trikuspidalklappeninsuffizienz Springerlink

Https Www Thieme Connect De Products Ebooks Pdf 10 1055 B 0034 60167 Pdf

Https Www Thieme Connect De Products Ebooks Pdf 10 1055 B 0034 60167 Pdf

Https Mediatum Ub Tum De Doc 1136071 1136071 Pdf

Https Mediatum Ub Tum De Doc 1136071 1136071 Pdf

Https Www Sigmund Silber Com Cms Media Publ 2006 Herz Esc Guidelines Cases Silber Pdf

Https Www Sigmund Silber Com Cms Media Publ 2006 Herz Esc Guidelines Cases Silber Pdf

Was Ist Eigentlich Eine Ebstein Anomalie

Was Ist Eigentlich Eine Ebstein Anomalie

Trikuspidalklappeninsuffizienz Ubersicht Clinicalkey Now Themen

Trikuspidalklappeninsuffizienz Ubersicht Clinicalkey Now Themen

Https D Nb Info 1062536924 34

Https D Nb Info 1062536924 34

Herzzentrum Gottingen Herzklappenfehler Umg

Herzzentrum Gottingen Herzklappenfehler Umg

Https Www Sigmund Silber Com Cms Media Publ 2006 Herz Esc Guidelines Cases Silber Pdf

Https Www Sigmund Silber Com Cms Media Publ 2006 Herz Esc Guidelines Cases Silber Pdf

Katheterinterventionelle Therapie Der Trikuspidalklappeninsuffizienz Springerlink

Katheterinterventionelle Therapie Der Trikuspidalklappeninsuffizienz Springerlink

Trikuspidalklappeninsuffizienz Medizinische Klinik Mit Schwerpunkt Kardiologie Und Angiologie Charite Universitatsmedizin Berlin

Trikuspidalklappeninsuffizienz Medizinische Klinik Mit Schwerpunkt Kardiologie Und Angiologie Charite Universitatsmedizin Berlin

Https Edoc Ub Uni Muenchen De 21453 1 Braun Daniel Pdf

Https Edoc Ub Uni Muenchen De 21453 1 Braun Daniel Pdf

Erkrankungen Des Endokards Und Der Herzklappen Stabile Reduktion Der Trikuspidalinsuffizienz Nach 6 Monaten Kardiologie Org

Erkrankungen Des Endokards Und Der Herzklappen Stabile Reduktion Der Trikuspidalinsuffizienz Nach 6 Monaten Kardiologie Org

Https Docserv Uni Duesseldorf De Servlets Derivateservlet Derivate 52793

Https Docserv Uni Duesseldorf De Servlets Derivateservlet Derivate 52793

Herold Innere Medizin 2008

Herold Innere Medizin 2008

Https Www Sigmund Silber Com Cms Media Publ 2006 Herz Esc Guidelines Cases Silber Pdf

Https Www Sigmund Silber Com Cms Media Publ 2006 Herz Esc Guidelines Cases Silber Pdf

Qualitatsbericht 2012 By Universitatsmedizin Magdeburg Issuu

Qualitatsbericht 2012 By Universitatsmedizin Magdeburg Issuu

Die medikamentöse Therapie ist beschränkt auf Diuretika und die Behandlung der kardialen oder pulmonalen Grunderkrankung.

Linksventrikuläre MasseKörperoberfläche gm² - Lineare Methode. Linksventrikuläre MasseKörperoberfläche gm² - Lineare Methode. Die echokardiographischen Ergebnisse nach 3 Jahren waren exzellent bei vier Patienten lag lediglich eine Regurgitation I vor. Der mittlere Gradient über der Aortenklappe betrug 82 48 mmHg die Ejektionsfraktion lag bei 503 71. Die Trikuspidalklappeninsuffizienz TI ist die Schlussunfähigkeit der Trikuspidalklappe und führt zum Blutfluss aus dem RV in den RA während der Systole. Bei keinem der Patienten kam es. Médicos centros de saude e hospitais especialistas em Trikuspidalklappeninsuffizienz que voce pode entrar em contacto marque o compromisso ou envia resultados do exames. Die Trikuspidalinsuffizienz TI ist eine häufig anzutreffende Form der Herzklappenerkrankung. Example sentences with Tricuspid valve insufficiency translation memory.


Die Trikuspidalklappeninsuffizienz ist eine Herz-klappenerkrankung welche die dreizipflige Segel-klappe zwischen rechtem Vorhof und rechter Herz-kammer betrifft. Médicos centros de saude e hospitais especialistas em Trikuspidalklappeninsuffizienz que voce pode entrar em contacto marque o compromisso ou envia resultados do exames. Die Trikuspidalklappeninsuffizienz ist eine Herz-klappenerkrankung welche die dreizipflige Segel-klappe zwischen rechtem Vorhof und rechter Herz-kammer betrifft. Durch funktionelle Veränderungen des rechten Ventrikels bei fortgeschrittenen Linksherzerkrankungen. Die Trikuspidalinsuffizienz TI ist eine häufig anzutreffende Form der Herzklappenerkrankung. Die häufigste Ursache ist die Dilatation des RV. Man unterschiedet die sekundäre Insuffizienz von der deutlich selteneren primären Insuffizienz.

Post a Comment for "Trikuspidalklappeninsuffizienz Grad 2 3"